低侵襲手術:人工関節置換術
低侵襲手術:人工関節置換術について
手術方法
損傷部位により切開幅は異なりますが、10cm程度切開し、傷んでしまった骨を削り、人工関節(金属・セラミック・ポリエチレン等)に置き換える手術です。
※人工関節の耐久年数はおおよそ20年以上と言われています。
関節の痛みの原因となっている部分を取り除くため、他の治療法と比べると「痛みを取る」効果が大きいのが特徴です。
人工肩関節置換術(RSA)(腱板断裂性関節症)
リバース型という特殊な人工関節を使用することにより、腱板が痩せてしまっている状態でも腕を持ち上げることができます。
※原則70歳以上の方が適応となります。
より確実な手術を行うためにナビゲーションシステムを導入しています。

| 手術内容 | 麻酔 | 手術時間 | 入院日数 | 手術費用(入院費を含む) | 3割負担の場合 |
|---|---|---|---|---|---|
| RSA+骨移植 | 全身麻酔 | 約2時間 | 約1カ月 | 1,600,000円 | 480,000円 |
※ 上記内容はあくまでも目安になります。予めご了承下さい。
術後について
- 手術翌日
- 肩や腕の余分な筋肉のこわばりを和らげるためのリハビリテーションを開始します。
- 3週間程度
- 装具を装着し、肩を安静に保ちます。
- 3ヶ月程度
- 日常生活が可能になります。
※ 個人差がありますので、上記の内容はあくまでも目安になります。
人工股関節置換術(THA)(変形性股関節症)
前方アプローチ・前外側アプローチなど、股関節への侵入経路を工夫することにより、筋肉を切らずに筋肉の隙間からアプローチすることが可能です。
当院では、前外側アプローチによる筋肉や靭帯を温存した人工関節置換術も取り入れています。
また、仰臥位で行うことにより、術中にレントゲンイメージで人工関節の設置角度を確認できるため、より正確で再現性の高い設置を心がけています。
アプローチにご興味のある方は是非ご相談下さい。
| 手術内容 | 麻酔 | 手術時間 | 入院日数 | 手術費用(入院費を含む) | 3割負担の場合 |
|---|---|---|---|---|---|
| 片側 | 全身麻酔 | 約1.5時間 | 約3週間 | 1,800,000円 | 540,000円 |
※ 上記内容はあくまでも目安になります。予めご了承下さい。
術後について
- 手術翌日
- 立つ訓練を行います。
- 3~5日程度
- 歩く訓練を開始します。
- 3週間程度
- 日常生活を送ることを目標にリハビリテーションを行います。
※ 個人差がありますので、上記の内容はあくまでも目安になります。
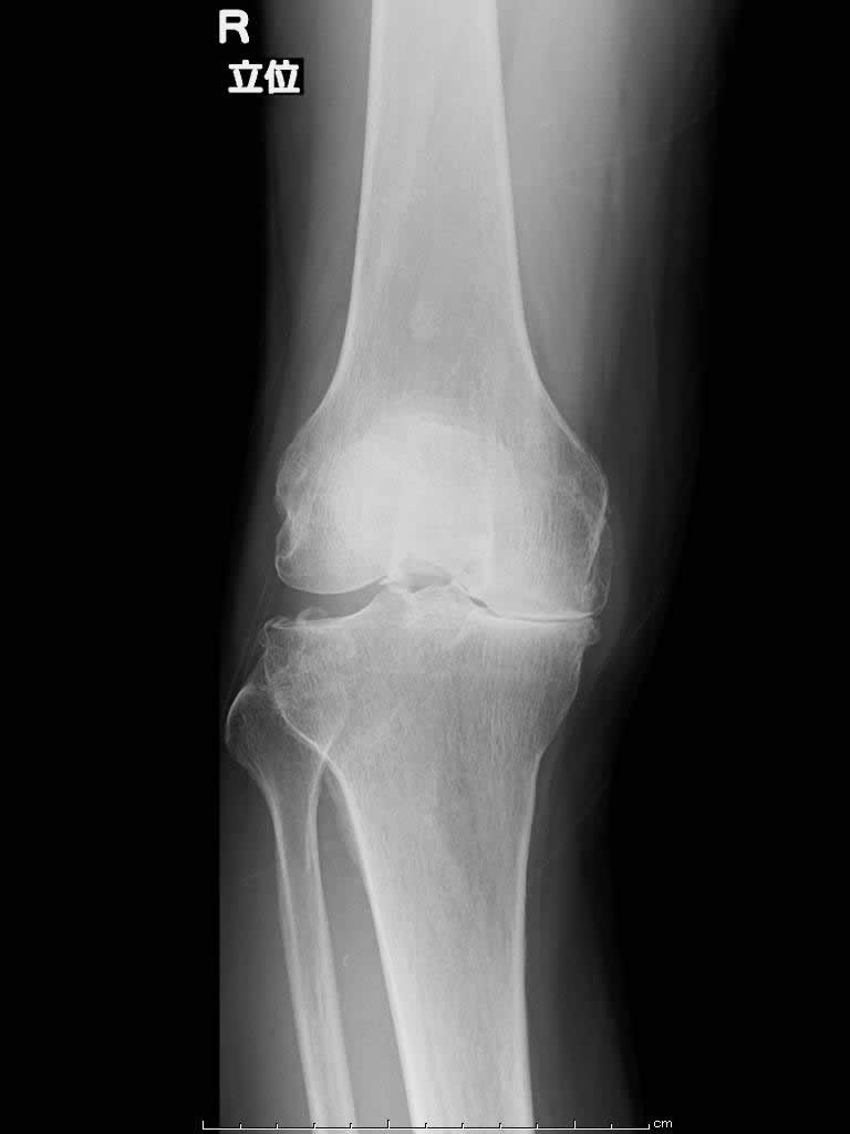
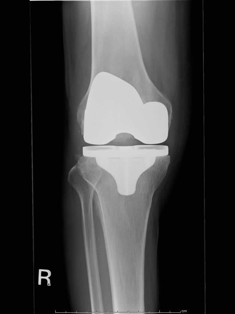
人工膝関節置換術(TKA)(変形性膝関節症)
加齢や怪我などにより、傷んだ軟骨と骨を削って、人工関節に置き換えます。
※内外の両側の軟骨が傷んだ方が適応となります。
【術前】

【術後】

| 手術内容 | 麻酔 | 手術時間 | 入院日数 | 手術費用(入院費を含む) | 3割負担の場合 |
|---|---|---|---|---|---|
| 片側 | 全身麻酔 | 約1.5時間 | 約1ヶ月 | 1,500,000円 | 450,000円 |
| 両側 | 全身麻酔 | 約3時間 | 約1ヶ月 | 2,000,000円 | 600,000円 |
※ 上記内容はあくまでも目安になります。予めご了承下さい。
術後について
- 手術翌日
- 立つ訓練を行います。
- 3~5日程度
- 歩く訓練を開始します。
- 3週間程度
- 日常生活を送ることを目標にリハビリテーションを行います。
※ 個人差がありますので、上記の内容はあくまでも目安になります。
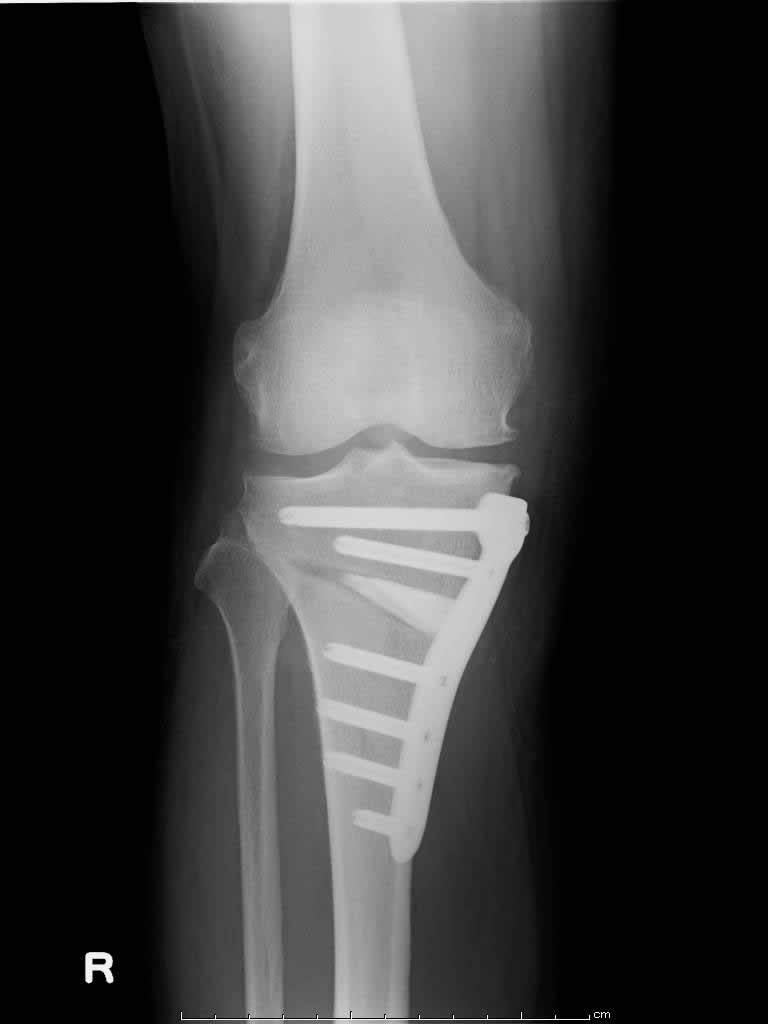
その他の変形性膝関節症の手術
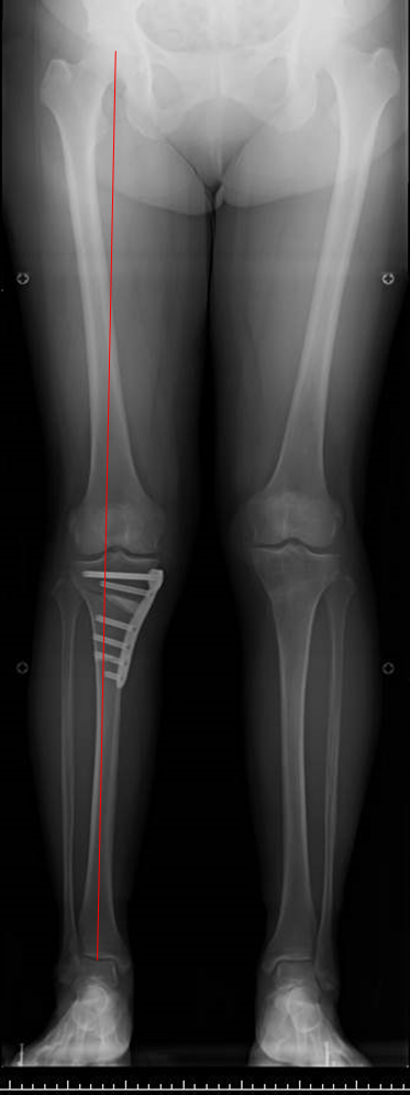
高位脛骨骨切り術
変形性膝関節症の多くは、膝がO脚であるために膝の内側の軟骨が減ることで痛みが生じます。
すねの骨(脛骨)を切って、少しX脚に矯正する手術です。
この手術を行うと膝の内側にかかっていた体重が膝の外側にかかるようになり、痛みが軽減または消失します。
近年では中高年でスポーツをされる方が増えており、そういった方や若年者では自分の膝関節を温存する目的で骨切り術を行っています。
| 手術内容 | 麻酔 | 手術時間 | 入院日数 | 手術費用(入院費を含む) | 3割負担の場合 |
|---|---|---|---|---|---|
| 骨切り | 全身麻酔 | 約1.5時間 | 約4週間 | 800,000円 | 240,000円 |
※ 上記内容はあくまでも目安になります。予めご了承下さい。



術後について
- 手術翌日
- 膝の曲げ伸ばしの訓練を行います。
- 2週間程度
- 徐々に体重をかけて、歩く訓練を開始します。
- 4週間程度
- 松葉杖を外し日常生活を送ることを目標にリハビリテーションを行います。
※ 個人差がありますので、上記の内容はあくまでも目安になります。

